Practical Panoramic Imaging
Course Number: 589
Course Contents
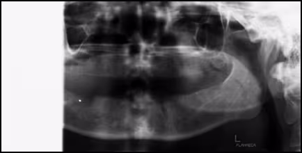
Sub-category 3: Shoulder–Receptor/X-ray Head Interference Errors
The third category of technical errors in panoramic radiography involves shoulder and receptor contact due to patient short neck and/or thick shoulder anatomy and lack of clearance between the shoulder and the receptor and/or x-ray head. Contact may result in stoppage or improper machine rotation, patient movement, image artifacts, or partial image production.
Figure 60. Incomplete Panoramic Image. Shoulder contact on the patient’s right side caused the machine to stop resulting in a partial image.
Figure 61. Distorted Panoramic Image. Shoulder contact on the patient’s right side caused the patient to move in response producing wave-like distortion and cut-off the right ramus.
0/41Next



