Practical Panoramic Imaging
Course Number: 589
Course Contents
Stepwise Approach to Panoramic Technique Assessment
Panoramic errors result in image presentations that may be due to patient preparation, machine preparation, patient positioning, tissue projection, patient movement, shoulder interference or a combination thereof.
Technique Errors
Technique errors can result from difficulties encountered from each of the three stages in panoramic technique:
Patient Preparation
The features of these errors on radiographs are characteristic and are therefore usually readily self-diagnostic.
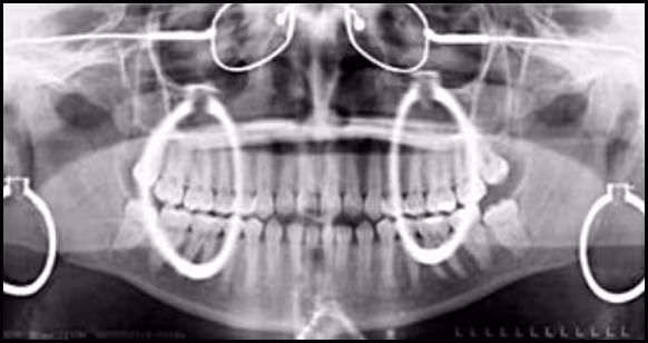
Metallic artifacts. The most common patient preparation error is failure to remove metallic or radiodense objects from the patient's head and neck. This causes two problems:
First, they produce a radiopaque outline of themselves, usually providing a telltale indication of the error.
Second, they may produce “ghost images.” Ghost imaging is a normal component of panoramic projection and occurs when an object is penetrated twice by the x-ray beam. Structures or objects that are located posterior to (behind) the center of rotation and the x-ray source tend to be ghosted onto the contralateral side of the image. Ghost images have specific recognizable characteristics that are viewable on the panoramic image.
Table 6. Ghost Characteristics.
- The ghost image has the same general shape of the original object but does not produce a mirror image.
- The ghost image appears on the opposite side of the panoramic image compared to the original object.
- The ghost image appears in a higher position on the image than the original object.
- The ghost image appears magnified and unsharp (blurred) more in the vertical plane compared to the original object.
Figure 35. Panoramic Earring Ghost Images. This image illustrates the telltale signs of leaving several metallic objects on the patient, specifically earrings, glasses, and a neck chain. Note the ghost images produced by the earrings and their characteristic presentation.
Normal anatomic structures can also produce ghost images. Figure 36 demonstrates ghost images of the angle of the mandible which are projected to the other side and identified by the arrows.
Figure 36. Ghost Images of the Angle of the Mandible.



