- Home
/
- Stannous Fluoride
/
- Oral Health
/
Anti Calculus Benefit


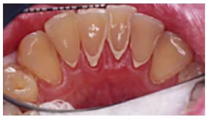
Dental calculus forms through the mineralization of dental plaque, resulting in a variety of different crystalline forms (Sidaway 1978). First, new crystals form, that are composed of calcium and phosphate, which then grow and harden into calculus (Figures 18-19). The mineral content for supragingival and subgingival calculus is on average 37% and 58% by volume, respectively (Friskopp & Isacsson 1984). Supragingival calculus also contains bacterial debris and toxins as well as viable aerobic and anaerobic bacteria (Tan et al. 2004a; Tan et al. 2004b; White et al. 1997). This is of clinical significance as it can be a reservoir of pathogenic bacterial species (Tan et al. 2004b). Dental calculus is common in adults, and less common in children (Anerud et al. 1991).
Calculus Research SummariesAnticalculus Efficacy and Safety of a Stabilized Stannous Fluoride Dentifrice with HexametaphosphateA Randomized Clinical Trial to Evaluate a Daily Two-Step Dentifrice and Gel System in the Prevention of Stain, Plaque and Calculus following a Dental ProphylaxisAnti-calculus Efficacy of a Stabilized Stannous Fluoride Dentifrice in a 3-month Clinical TrialStannous Fluoride Clinical Significance Calculus
Figure 18. Formation of dental calculus

Figure 18. Formation of dental calculus
In the 2-step and smooth texture formulas, the positively charged zinc ion (Zn2+) inhibits crystal growth by substituting for calcium in the crystal lattice of calcium phosphate (Figure 22). This interferes with the crystal formation and slows crystal growth (Segreto et al. 1991). Stannous fluoride also inhibits plaque formation, which is the structure on which calcium and phosphate precipitate.
Figure 19. Supragingival calculus

Figure 19. Supragingival calculus
Figure 20. Hexametaphosphate molecule

Figure 20. Hexametaphosphate molecule
Mechanism of action
Pyrophosphate helps to reduce dental calculus through a mineral chelating effect that inhibits plaque mineralization. It has a natural binding affinity for calcium ions. The anticalculus effect is due to adsorption and binding of the pyrophosphate to the tooth surface and to forming crystals of calcium phosphate in plaque, helping to inhibit the growth and maturation of calculus (White & Gerlach 2000; Rykke & Rolla 1990; Rolla et al. 1988). Sodium hexametaphosphate (Figure 20) is a longer-chain form of pyrophosphate, with more binding sites. It has a greater affinity for hydroxyapatite surfaces, and binds strongly to the tooth surface and the surface of developing calculus in plaque. (Figure 21 White & Gerlach 2000; Baig et al. 2002, Busscher et al. 2002)
Figure 21. Mechanism of action of sodium hexametaphosphate

Figure 21. Mechanism of action of sodium hexametaphosphate
In the 2-step and smooth texture formulas, the positively charged zinc ion (Zn2+) inhibits crystal growth by substituting for calcium in the crystal lattice of calcium phosphate (Figure 22). This interferes with the crystal formation and slows crystal growth (Segreto et al. 1991). Stannous fluoride also inhibits plaque formation, which is the structure on which calcium and phosphate precipitate.
Figure 22. Mechanism of action of zinc

Figure 22. Mechanism of action of zinc

Calculus Research Summaries
Calculus Research Summaries
The following study summaries represent a sample of research demonstrating the benefits of stabilized stannous fluoride dentifrice for calculus inhibition.
Anticalculus Efficacy And Safety Of A Stabilized Stannous Fluoride Dentifrice With Hexametaphosphate
Anticalculus Efficacy And Safety Of A Stabilized Stannous Fluoride Dentifrice With Hexametaphosphate
Full text available in the Research Database at www.dentalcare.com
Reference: Schiff T, Saletta L, Baker RA, et al. Compend Contin Educ Dent. 2005; 26(9 suppl 1):29-34.
Conclusion
Over a 6-month period a stabilized stannous fluoride dentifrice with sodium hexametaphosphate showed superior anticalculus efficacy compared with a marketed tartar control triclosan/copolymer control.
Objective
To assess the anticalculus efficacy of a 0.454% stabilized stannous fluoride dentifrice with sodium hexametaphosphate vs a positive control dentifrice.
Materials And Methods
A 0.454% stabilized stannous fluoride dentifrice with sodium hexametaphosphate was compared to a marketed tartar control (0.30% triclosan/0.243% sodium fluoride/2% Gantrez copolymer) dentifrice.
The Volpe-Manhold Index was used to measure calculus on the lingual surfaces of the lower 6 anterior teeth.
Oral soft and hard tissue examinations were also conducted.
The Lobene Index was used to measure stain on the facial surfaces of 12 anterior teeth.
Subjects were randomized to either the stabilized stannous fluoride/sodium hexametaphosphate dentifrice or the control dentifrice..
Subjects used their assigned dentifrice twice a day for 6 months.
Subjects were examined again for calculus, stain, and soft tissue safety at months 3 and 6.
Results
Data were analyzed for 80 subjects who had complete data.
Volpe-Manhold Index scores were statistically significantly lower for the stabilized stannous fluoride/sodium hexametaphosphate group than the triclosan/sodium fluoride copolymer group at both months 3 and 6 (P<0.0001).
Compared to the triclosan/sodium fluoride copolymer group, the stabilized stannous fluoride/sodium hexametaphosphate group showed a 54% reduction (adjusted means) in calculus accumulation at month 3 and a 56% reduction at month 6.
Neither group of subjects showed any appreciable extrinsic stain accumulation.
No adverse events were reported.

A Randomized Clinical Trial To Evaluate A Daily Two-step Dentifrice And Gel System In The Prevention Of Stain, Plaque And Calculus Following A Dental Prophylaxis
A Randomized Clinical Trial To Evaluate A Daily Two-step Dentifrice And Gel System In The Prevention Of Stain, Plaque And Calculus Following A Dental Prophylaxis
Reference: Gerlach R, Farrell S, Anastasia MK, Amini P. J Dent Res 2016; 95 (Spec Iss A): Abstract 0093.
Key Clinical Findings
A 2-step dentifrice and whitening gel system helped maintain the cleaning results of a dental prophylaxis versus a regular anti-cavity dentifrice used as a negative control through 2.5 months. Step 1 is a 0.454% stannous fluoride dentifrice and Step 2 is a 3% hydrogen peroxide whitening gel.
After 10 weeks of twice daily use, the 2-step dentifrice and gel system exhibited statistically lower (P<0.001) percent accumulations versus the control group in tooth stain (73.4%), plaque (30.5%), and calculus (58.6%). See Figures 1–3.
Both products were well-tolerated.
Figure 1. Tooth Stain Scores

Figure 1. Tooth Stain Scores
*Baseline and post-prophy scores are means; Week 4 and Week 10 scores are adjusted means **P<0.0005
Figure 2. Plaque Scores

Figure 2. Plaque Scores
*Baseline and post-prophy scores are means; Week 4 and Week 10 scores are adjusted means.
**P<0.0001
Figure 3. Calculus Scores

Figure 3. Calculus Scores
*Baseline and post-prophy scores are means; Week 4 and Week 10 scores are adjusted means.
**P<0.01
Objective
To assess the effectiveness of a daily 2-step dentifrice and gel system to prevent the formation of stain, calculus and plaque after a dental prophylaxis.
Methods
This was a randomized, controlled, examiner-blind, 2-treatment parallel group study. Forty-eight healthy adult volunteers with evidence of plaque and either stain or calculus completed the trial.
Following a whole-mouth dental prophylaxis, subjects were randomized to one of two groups:
Negative control - 0.76% sodium monofluorophosphate dentifrice (Colgate® Cavity Protection, Colgate-Palmolive)
Daily 2-step dentifrice and gel system (Crest® PRO-HEALTH™ [HD]™) - Step 1, 0.454% stannous fluoride dentifrice; Step 2, 3% hydrogen peroxide whitening gel
Both groups brushed twice daily with a soft manual toothbrush (Oral-B® Indicator™, Procter & Gamble).
Stain (Lobene Index1), calculus (Volpe-Manhold Index2) and plaque (Rustogi Modification of the Navy Plaque Index3) were measured clinically prior to receiving a dental prophylaxis, immediately after a dental prophylaxis, and after 4 and 10 weeks of product use.
1 Lobene RR. Effect of dentifrices on tooth stain with controlled brushing. J Am Dent Assoc. 1968;77:849-855.
2 Volpe AR, Manhold JH, Hazen SP. In vivo calculus assessment. I. A method and its examiner reproducibility. J Periodontol. 1965;36:32-38.
3 Rustogi KN, Curtis JP, Volpe AR, Kemp JH, McCool JJ, Korn LR. Refinement of the modified Navy Plaque Index to increase efficiency in gumline and interproximal tooth areas. J Clin Dent. 1992;3 (Suppl C):C9-12.
Anti-Calculus Efficacy Of A Stabilized Stannous Fluoride Dentifrice In A 3-Month Clinical Trial
Anti-Calculus Efficacy Of A Stabilized Stannous Fluoride Dentifrice In A 3-Month Clinical Trial
Reference: Milleman JL, He T, Anastasia MK. J Dent Res 2017; 96 (Spec Iss A): Abstract 2816.
Key Clinical Findings
Subjects using the stabilized stannous fluoride (SnF2) dentifrice demonstrated 15.1% less calculus at Week 6 (P=0.05) and 21.7% less calculus at Month 3 (P<0.01) compared to subjects in the control group.
Both test products were well tolerated.
Figure. Calculus scores (VMI) per group.

Figure. Calculus scores (VMI) per group.
N=78. *Significant difference between groups (P<0.05) using analysis of covariance.
Objective
To assess the calculus prevention benefit of an experimental stabilized SnF2 dentifrice relative to a negative control dentifrice.
Study Design
This was a 3-month, parallel-group, double-blind, randomized and controlled clinical trial.
Subjects received a dental prophylaxis and then entered a 2-month run-in phase. At the end of 2 months, subjects received a Volpe-Manhold Index (V-MI) calculus examination.
Qualified subjects who formed a minimum of 9 mm of calculus on the lingual surfaces of the six mandibular anterior teeth received another prophylaxis and were randomly assigned to one of the two treatments:
Experimental 0.454% stabilized SnF2
dentifrice (Crest® PRO-HEALTH™ Clean Mint [Smooth Formula], Procter & Gamble) with zinc to control calculus; or
Negative control dentifrice (Colgate® Cavity Protection, Colgate-Palmolive).
Subjects brushed with their assigned product twice daily using a standard manual toothbrush, one minute per brushing, during the 3-month trial.
Safety and calculus measurements were taken via Oral Soft Tissue and Volpe-Manhold Index examinations at Baseline, Week 6 and Month 3..
Treatment groups were compared using analysis of covariance. All statistical tests were two-sided with a 5% level of significance.
Clinical Comment
Calculus build-up can lead to less efficient oral hygiene and tooth discoloration, as well as extending the time required for a dental prophylaxis. This research demonstrated a directional anti-calculus benefit for the SnF2dentifrice relative to the control dentifrice in as early as 6 weeks. The relative benefit for the SnF2 dentifrice was even greater after 12 weeks of use. Dental professionals should consider recommending the SnF2 dentifrice for patients who form calculus, as it also improves gingival health and strengthens enamel.
Clinical Significance: Calculus
Clinical Significance: Calculus
- Calculus has a rough surface which has greater potential for more plaque build-up than smooth, clean surfaces.
- The ability to prevent and control calculus formation with twice-daily use of anti-calculus stabilized stannous fluoride toothpastes helps patients be able to brush more efficiently without accumulations of dental calculus interfering with brushing.
- Less dental calculus also means that patients will have easier, more efficient dental cleanings.
Clinical Studies
In Vitro and In Vivo Evaluations of the Anti-calculus Effect of a Novel Stabilized Stannous Fluoride Dentifrice
Purpose: To evaluate the effect of a novel stannous fluoride dentifrice with zinc citrate on calculus inhibition using both in vitro and clinical models.
Anti-calculus Efficacy of a SnF₂ Dentifrice in a Three-month Clinical
Purpose: The objective of the study was to assess the calculus prevention benefit of an experimental 0.454% Stannous Fluoride (SnF2) dentifrice relative to a negative control dentifrice.
Three Month Clinical Trial on the Anti-Calculus Effects of Two Dentifrices
Purpose: Supra-gingival dental calculus formation is a common problem for consumers. The present study was undertaken to evaluate the anti-calculus efficacy of a 0.454% Stannous Fluoride (SnF2)/sodium hexametaphosphate dentifrice relative to a marketed positive control dentifrice.
Patient Education
What Is Plaque?
Dental plaque is a sticky, colorless or pale yellow film that is constantly forming on your teeth.
Tartar On Teeth
Teeth tartar, also called dental calculus, is a crusty deposit that can trap stains on the teeth and cause discoloration.

